






2191-AMF
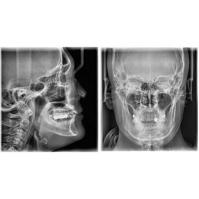
Pax-i 3D SC - панорамный аппарат и конусно-лучевой томограф с цефалостатом, FOV 10x8.5 см
Доступен для заказа
Pax-i 3D SC - панорамный аппарат с цефалостатом и конусно-лучевой томограф
Модели:
- PaX-i3D Панорамный аппарат + Томограф
- PaX-i3D SC Панорамный аппарат + Томограф + Цефалостат
Преимущества:
- Гибкость диагностики с применением нескольких размеров зоны сканирования
- PaX-i3D имеет поля обзора в диапазоне от 5х5 до 12х9 см
- Размер поля 5х5 см предназначен для эндодонтии: имеют выше разрешение, необходимое для диагностики корневых каналов
- Поле 8х5 см предлагает более расширенную информацию в зонах верхней и нижней челюсти
- Поле 8х8 см предоставляет исчерпывающую информацию для анализа и планирования имплантации в верхней и нижней челюсти за одно сканирование. Поле пригодно для диагностики синуса и ВНЧС.
- Поле 12х9 см предоставляет самую полную диагностику верхней и нижней челюсти, включая область моляров и нижнечелюстной дуги за одно сканирование.
- Широкий выбор настроек панорамного режима сканирования
- Нормальное/высокое (HD) разрешение снимка
- Программы съемки: стандартная, детская ортогональная, прикусная (полная, левая, правая, фронт)
- Толщина альвеолярного гребня (толстый/нормальный/узкий)
- Форма зубной дуги (нормальная, узкая, широкая)
- Технология MagicPan (ОПЦИЯ) обеспечивает большую четкость панорамных изображений. Панорамное изображение перестраивается посегментно на протяжении всей дентальной области. Из нескольких панорам, следующих друг за другом, выбирается тот сегмент, в котором зубы находятся в резкости.
- латеральная/задне-передняя проекция ВНЧС с открытым/закрытым ртом
- латеральный снимок синуса
- Программы для цефалометрических измерений на голове
- Задне-передняя, латеральная, аксиальная проекции черепа
- Проекция кисти (держатель кисти в комплекте)
Простота использования и компактные размеры
- Управление выбором программ и параметров съемки с экрана компьютера
- Полностью цифровая система положение сустава (открытый, закрытый),
- Контроль наклона головы по двум лазерным лучам, определяющим франкфуртскую и среднесаггитальную плоскости
- При использовании технологии MagicPan (опция) панорамное изображение формируется из сегментов, в каждом из которых зубы находятся в резкости.
Технические характеристики:
- Функция: Панорама+Томограф+Цефалостат
- Размер зоны сканирования на КТ (FOV, см) 8X8 : мульти [5X5 /8X5 /8X8]
- 12X9 : мульти [5X5 /8X5 /8X8 /12X9]
- Размер вокселя (мм) 0,12 /0,2 /0,3
- Время сканирования Пано: 10.1 сек (стандартное качество)
- Цефалостат: 12.9 сек (Full LAT -16.9 сек)
- КТ: стандартное 15 сек /высокое 24 сек
- Размер зоны сканирования на цефалостате 21 х 23 см
- 27 х 23 см
- Уровень серого 14 бит
- Напряжение/ток 50-90 кВп/4-10 мА
- Размеры (В х Ш х Г) 2340 х 1140 (цеф:1950)х 1355 мм
Комплектация:
- Панорамный аппарат
- Плита-опора для установки аппарата без крепления к стене
- Компьютер с монитором для организации рабочего места оператора (опция)
- Программное обеспечение EasyDentv4 для просмотра панорамных и цефалометрических снимков (неограниченное число лицензий для инсталляции в локальной сети клиники)
- Программное обеспечение Ez3D Plus для просмотра и анализа 3D снимков в формате DICOM (лицензия 1+1: работает полноценная копия программы на компьютере, подключенном к аппарату и на любом одном компьютере в сети, первым получившим доступ к лицензии. Остальные компьютеры в сети подключаются в режиме просмотра)
- Принтер для печати панорамных снимков (опция)
- Электронный стабилизатор напряжения (опция)
Брошюра Pax-i 3D на русском языке (скачать)
Технические характеристики
- Страна производителя
- Ю. Корея
- Оплата наличными или картой при самовывозе в Санкт-Петербурге
- Оплата наличными при курьерской доставке в Санкт-Петербурге
- Безналичным переводом для юр. лиц
- Оплата в отделении банка по счету
Подробная информация в Способы оплаты
- Самовывоз в Санкт-Петербурге
- Курьерская доставка
- Транспортными компаниями по Москве и России
- Самовывоз или доставка заказов СДЭК
Подробная информация о доставке в Информация о доставке
Наш магазин гарантирует качество товаров. Подробнее о гарантии
Наши преимущества
Стоматологический кабинет под ключ
Рекомендуемые товары














Нет отзывов об этом товаре.