

2178-AMF
Hyperion X9 CB3D 11х13 - дентальный цифровой 3D-томограф с цефалостатом, 3 в 1, FOV 11х13
На складе
Технологии визуализации Hyperion X9 Pro
MultiPAN (МРТ-снимок)

Многослойный панорамный рентгеновский снимок с увеличением и широким спектром программ 2D, позволяет сделать снимки, соответствующие абсолютно любым требованиям.
Сканирование с чрезвычайно высоким уровнем детализации, высокой ортогональностью и определением траекторий для изучения зубных рядов, височно-нижнечелюстных суставов игайморовых пазух. Автоматическая оптимизация дозы и времени облучения для пациентов разного возраста.
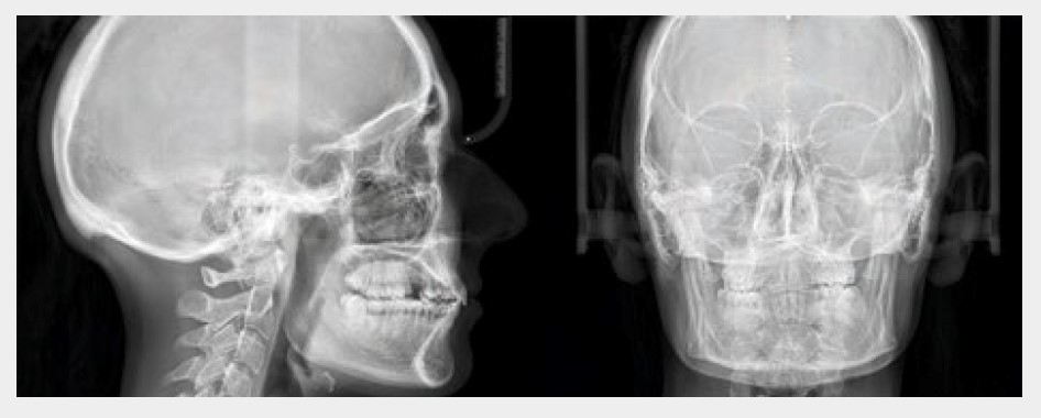
Полная цефалометрия

Усовершенствованная система телерадиографии Hyperion X9 pro предлагает программы, подходящие для любых диагностических требований. Высококачественные изображения, быстрое сканирование и сниженная доза облучения: это образец лучших цефалометрических технологий с наименьшей производственной площадью, доступный на сегодняшний день на рынке.
Super HD CB3D

360-градусное трехмерное изображение (малая доза облучения), сверхбыстрое сканирование с высоким разрешением: 75 мин для всего зубного ряда и до 68 мин с использованием эксклюзивной функции XF (расширенная функция), позволяющая добавить дополнительные проекции снимков челюсти. Предназначено для полной стоматологической диагностики, обследований внутреннего уха, верхних дыхательных путей и ЛОР-обследований.
3D-технологии Hyperion X9 Pro - шаг в будущее диагностики
Лучшее из разработок современной медицинской техники для 3D-диагностики. Система Hyperion X9 pro оснащена модернизированным генератором, предназначенным для быстрого получения оптимальных результатов, и 3D-датчиком, обеспечивающим получение высококачественных изображений при низкой дозе облучения пациента.
360-градусное сканирование
Основное преимущество сканирования на 360 градусов – значительное уменьшение артефактов. Hyperion X9 pro сочетает сбор данных с чрезвычайно коротким периодом их обработки. Всего за 14’’ вы сможете провести полное обследование с высоким разрешением при низких дозах рентгеновского излучения для пациента: отличное качество, подробный снимок, быстрая диагностика.
Усовершенствованный генератор
Генератор постоянного потенциала, оснащенный фокусным пятном всего 0,5 мм, оптимизирует экспозицию благодаря технологии импульсного излучения, обеспечивая наилучшие результаты при минимальной дозе облучения.
Широкая 3D-панель управления
Технологически усовершенствованная панель управления 3D отличается исключительной чувствительностью, которая позволяет проводить подробную диагностику. Вы в любое время сможете получить снимки полного зубного ряда и верхних дыхательных путей в качестве SuperHD для точной диагностики.
Многообразие вариантов полей изображения и высокое разрешение: широкий спектр 3D-снимков для любых целей
Инновационный выбор между тремя специальными режимами позволяет оператору легко проводить обследования в соответствии с реальными диагностическими потребностями:
QuickScan более быстрое сканирование с низкой дозой облучения для последующего наблюдения после операции и анализа макроструктуры.
Стандартный режим первичной диагностики и планирования лечения. Баланс между дозой облучения и качеством изображений.
SuperHD исключительный уровень детализации. Идеально подходит для анализа микроструктур.
Smart CB3D умная 3D-визуализация, которая автоматически подбирает оптимальные параметры сканирования (поле, дозу, скорость, качество) под выбранную анатомическую область и клиническую задачу.
Преимущества Hyperion X9 Pro
Hyperion X9 pro закрывает полноценную диагностику на одном устройстве: от ортогональной панорамы и цефалометрии до высокодетализированного CBCT для имплантологии, эндодонтии и ЛОР-задач. 360°-сканирование уменьшает артефакты, а SuperHD-режим даёт микроструктуры уровня 68 мкм — всё при протоколах с пониженной дозой и быстрым временем сканирования.
Модульная архитектура снижает риски покупки «с запасом»: начинаете с базовой конфигурации и при необходимости добавляете CEPH-модуль, расширяете FOV и функциональность. Компактная рама, сервопозиционирование (Scout View) и 4 лазерные направляющие упрощают работу персонала и ускоряют поток пациентов.
- 3-в-1 на одной платформе: панорама (в т.ч. ортогональная и сегменты), CBCT и полная цефалометрия; MultiPAN формирует 5 фокальных слоёв за одно сканирование.
- Сверхдетализация при низкой дозе: 360° CBCT с SuperHD до 68–75 мкм; QuickScan от ~3,6 до 6,4 с для послеоперационных и обзорных исследований.
- Широкий диапазон FOV: от 4×4 до 13×16 см — от локальных задач до тотального объёма верхних дыхательных путей и ВНЧС.
- Умная 2D-панорама: ортогональные траектории, PiE-фильтры, снимки прикуса с фокусом на коронках, QuickPAN для ускорения.
- Интеграции и софт: iRYS (мульти-десктоп 2D/3D, имплант-планирование, MAR), совместимость DICOM 3.0, управление и просмотр на iPad.
- Эргономика и поток: сервоуправляемое позиционирование (Scout View), 4 лазера, режим Focus-Free, удобная сенсорная панель 10″.

Применение и выгоды использования Hyperion X9 Pro
Для имплантологии и хирургии — планирование по одному объёму: оценка качества кости (по шкале), контроль соседних анатомических структур, моделирование имплантов и шаблонов; широкий FOV 13×16 см захватывает синусы и верхние дыхательные пути, что помогает при синус-лифтинге и сложных кейсах. Для ортодонтии и терапевтов — быстрые панорамы и цефалометрия, локальные CBCT-исследования 4×4/6×6 см, анализ ВНЧС и прикуса без перегрузки дозой.
Для ЛОР-направления — протоколы на ухо/нос/горло (например, 7×6, 13×8, 13×10, 13×16 см) с высокой читаемостью структур и сокращённым временем сканирования — удобно для детей и пациентов с низкой толерантностью к длительным процедурам
Основные характеристики:
- Тип системы — 2D PAN + 3D CBCT + полная CEPH, модульная платформа.
- Вращение CBCT — 360°.
- Детектор — аморфный кремний (a-Si) с CsI, 16-бит (65 535 уровней серого).
- Воксель (мин.) — 75 мкм (10×8), до 68 мкм (13×16, режим SuperHD/XF).
- Поля зрения (FOV) — 4×4…13×16 см (в т.ч. 6×6, 8×6, 8×8, 10×6, 10×8, 10×10, 13×8, 13×10, 13×16).
- Время сканирования CBCT — 3,6–6,4 с (QuickScan); типичное 14,4 с.
- Панорама — MultiPAN (5 фокальных слоёв за одно сканирование), QuickPAN.
- Цефалометрия — быстрый режим ~3,3 с (сниженная доза).
- Генератор/фокус — постоянный потенциал, фокус 0,5 мм (IEC 60336).
- Позиционирование — 4 лазерные лучи + Scout View (сервоцентрирование объёма)
- ПО — iRYS/iRYS Viewer (моделирование имплантов, 3D SMART MAR, PiE-фильтры, анализ дыхательных путей).
- Связность — DICOM 3.0, TWAIN, VDDS; LAN/Ethernet; управление и просмотр на iPad.
- Управление — полностью сенсорная панель 10″.
Совместимость
Система совместима с DICOM 3.0 (печать/архив/MPPS/работа со списками), поддерживает TWAIN/VDDS и локальную сеть (LAN/Ethernet), а также просмотр/управление через iPad-приложение iRYS Viewer - это облегчает интеграцию с клиническими PACS и планировщиками имплантов. Следует учитывать выбор FOV под задачу (минимизировать дозу), наличие металлоконструкций (3D SMART снижает артефакты, но не устраняет их полностью) и требования к позиционированию пациента; финальные противопоказания и протоколы определяются внутренними клиническими регламентами.
Комплектация
- Базовая конфигурация PAN/CBCT с сенсорной панелью 10″.
- Мобильный 2D-датчик PAN/CEPH или два отдельных датчика (PAN и CEPH) — в зависимости от выбранной версии.
- Консоль/кронштейн для CEPH-модуля (для конфигураций с телерадиографией).
- ПО iRYS (2D/3D, MAR 3D SMART, PiE, имплант-планирование, анализ дыхательных путей).
- Лазерные направляющие для позиционирования + эргономичный подголовник.
Примечание: состав поставки и аксессуары зависят от выбранной конфигурации и могут отличаться; уточняйте при заказе.
Эксплуатация и уход
Для стабильного качества снимков соблюдайте регулярную калибровку по регламенту производителя, обновляйте ПО iRYS/iRYS Viewer и прошивки (доступны удалённо), контролируйте позиционирование пациента (4 лазера + Scout View), выбирайте минимально достаточный FOV/режим (QuickScan/низкая доза) под задачу. Периодически очищайте направляющие/опоры и проверяйте фиксацию подголовника (7 точек), сохраняйте сетевую доступность DICOM-узлов и резервные копии исследований.
Закажите Hyperion X9 pro онлайн - подберём оптимальную конфигурацию и рассчитаем стоимость под вашу клинику.
- Страна производителя
- Италия
- Оплата наличными или картой при самовывозе в Санкт-Петербурге
- Оплата наличными при курьерской доставке в Санкт-Петербурге
- Безналичным переводом для юр. лиц
- Оплата в отделении банка по счету
Подробная информация в Способы оплаты
- Самовывоз в Санкт-Петербурге
- Курьерская доставка
- Транспортными компаниями по Москве и России
- Самовывоз или доставка заказов СДЭК
Подробная информация о доставке в Информация о доставке
Наш магазин гарантирует качество товаров. Подробнее о гарантии








Нет отзывов об этом товаре.